DIASTEMA é o termo usado para nomear o espaço entre dois dentes. Em virtude desse resultado, a prática do
fechamento de diastemas tem sido um procedimento corriqueiro dos consultórios odontológicos,
tendo ainda amplificada a sua necessidade quando a Ortodontia observou que
definitivamente estava refém da Dentística Restauradora para possibilitar ao
paciente um sorriso dentro dos critérios estéticos impostos pela sociedade,
entre eles a necessidade de parecer mais jovem.
Os fatores etiológicos
relacionados aos diastemas patológicos incluem freio labial, agenesia e microdontia
do incisivo lateral superior, discrepância entre as bases ósseas e o tamanho
normal dos dentes, fusão imperfeita na linha mediana, dentre outros.
Em
alguns casos nos quais o diastema não pode ser considerado patológico ele se
torna uma opção ao final de um tratamento ortodôntico, devido a pequenas
divergências de tamanho com seus homólogos, buscando ao final uma simetria
perfeita.
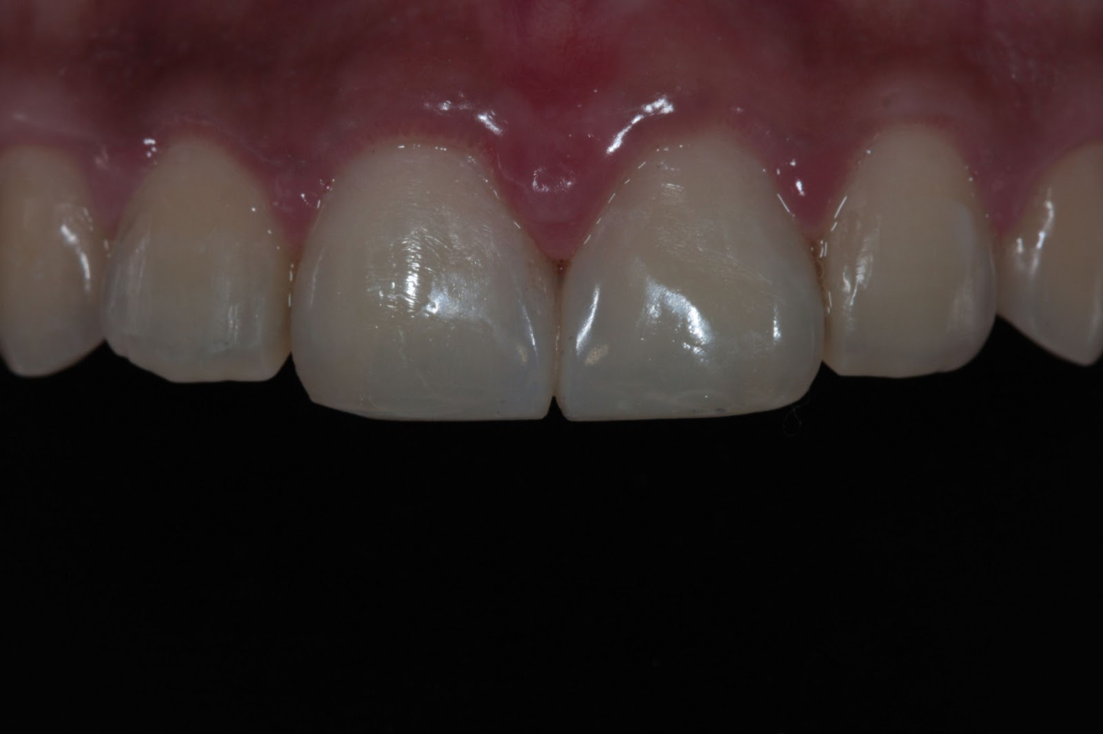
Segue algumas fotos abaixo que ilustram cada uma das causas citadas com o caso solucionado pela Dra Ginger Mello Cirurgião dentista da Araújo e Ginger Odontologia Estética.
Araújo&Ginger Odontologia Estética
R. 24 de Outubro - 451 Centro
Cuiabá MT
10:57
Unknown
Posted in: 

0 comentários:
Postar um comentário